審美歯科治療
- Qセラミックの被せ物はどのくらい持ちますか?
- Aお口の中の状態やメインテナンス状況によりますが、精密な適合と定期的なチェックを行うことで、長期にわたって良好な状態を維持されている患者さまが多くいらっしゃいます。
- Q治療後に痛みが出ることはありますか?
- A歯を削る処置の後、一時的にしみるような感覚が出ることがあります。
多くは時間の経過とともに落ち着きますが、症状が続く場合は適切に対応いたします。 - Q治療期間はどのくらいかかりますか?
- A被せ物の作製自体は通常2〜3週間(通院2〜3回)ですが、事前に歯周病治療や根管治療が必要な場合は、その分期間を要します。
診査・診断後に目安の期間を提示いたします。 - Q周りの自分の歯と色が浮いてしまわないか心配です。
- A当院では、口腔内スキャナーで取得した精密なデータと、デジタル写真を用いて、周囲の歯の色調(シェード)を徹底的に分析します。
その情報を熟練の歯科技工士と共有し、単一の色ではなく、天然歯特有の透明感やグラデーションを再現した被せ物を作製します。
セット前に患者さまご自身に色を確認していただくステップも設けておりますので、ご安心ください。 - Q1本だけセラミックにするのと、全体を治すのではどちらが良いですか?
- A患者さまのゴールによります。
1本だけの色調を合わせることも高度な技術で対応可能ですが、お口全体のバランス(歯並びや噛み合わせ、歯肉のライン)を整えたい場合は、複数本を同時に治療した方が、より調和の取れた美しい仕上がりになるケースが多いです。
診査・診断の上、複数のプランを提示いたします。 - Qセラミック治療をすれば、もう一生むし歯になりませんか?
- Aセラミック自体は人工物なのでむし歯になりませんが、歯とセラミックの「境目」から細菌が入ると、土台の歯が二次的なむし歯になるリスクはあります。
当院ではこのリスクを最小限にするため、マイクロスコープを用いた精密な適合と、接着剤の選択にこだわっています。
治療後の定期的なメインテナンスを継続することが、長持ちの絶対条件となります。 - Q歯ぎしりがあるのですが、セラミックは割れますか?
- Aジルコニアのような強度の高い材料を選択することで破損リスクを低減できますが、過度な力がかかり続けるとセラミックや対合する天然歯に負担がかかります。
当院では、顎咬合学会認定医の視点から噛み合わせを調整し、就寝時のマウスピース(ナイトガード)の装着をご提案することで、装置とご自身の歯を保護します。 - Q治療期間中、前歯がない状態で過ごすことになりますか?
- Aいいえ、ご安心ください。精度の高い「仮歯(プロビジョナルレストレーション)」を作製し、当日のうちに装着いたします。
仮歯の段階で見た目や噛み心地を確認していただき、そのフィードバックを最終的なセラミックの設計に反映させるため、見た目を損なう期間はありません。 - Q銀歯をセラミックに変える際、痛みはありますか?
- A基本的には局所麻酔を使用して行いますので、処置中に痛みを感じることはほとんどありません。
麻酔が切れた後に多少の違和感が出ることはありますが、数日で落ち着くことが大半です。
痛みに敏感な方には、電動麻酔器等を用いて刺激を抑える配慮も行っております。 - Q保険の白い歯(CAD/CAM冠など)と、自費のセラミックは何が違うのですか?
- A大きな違いは「精度」と「経年変化」です。保険の白い歯はプラスチックを配合しているため、数年で変色や摩耗が起こりやすく、汚れ(プラーク)も付きやすい性質があります。
自由診療のセラミックは変色がほぼなく、表面が滑らかで汚れが付きにくいため、歯肉の健康維持にも有利です。
また、自由診療ではマイクロスコープや口腔内スキャナーを用いた精密な工程が追加されます。 - Qセラミック治療に保証制度はありますか?
- Aはい、当院では自費診療の補綴物に対して保証期間を設けております。
ただし、定期的な検診(メインテナンス)を受けていただいていることが条件となります。
詳細な保証内容については、治療開始前のカウンセリングにて書面を用いてご説明いたします。
専門資格を持つ歯科医師によるデジタル審美歯科
「過去に入れた被せ物の色が周りと合っていない」
「銀歯が気になって、口を大きく開けて笑うのをためらってしまう」
「見た目だけでなく、しっかり噛めて長持ちする治療を選びたい」
八千代緑が丘駅直結の「公園都市プラザわかば歯科」では、見た目の改善に加え、噛み合わせの回復や歯肉の健康維持を目的とした審美歯科治療(自由診療)を行っています。
当院では、日本歯周病学会認定医、日本口腔インプラント学会専門医、顎咬合学会認定医が、それぞれの専門的知見に基づき、マイクロスコープや歯科用CT、口腔内スキャナー等の設備を用いて、精密な診査・診断のもと治療計画を立案いたします。
精密な審美歯科治療を実現するための設備体制
被せ物や詰め物の適合性は、治療の予後(長持ちするかどうか)に影響を与えます。
当院では、以下のデジタル設備を活用し、ミクロン単位の精度を追求しています。
歯科用CTによる診査・診断
審美的な治療を行う前には、その土台となる歯の根や周囲の骨に問題がないかを確認することが不可欠です。
歯科用CTによる3次元撮影を行い、目視や2次元のレントゲンでは確認しきれない病変の有無を事前に把握します。
マイクロスコープ:肉眼では不可能な「0.1mm以下の適合」を追求
審美歯科における失敗の多くは、被せ物と土台となる歯の間の「目に見えない隙間」から始まります。
また、マイクロスコープで視野を最大20倍に拡大することで、むし歯に感染した部分のみをピンポイントで削り、健康な歯を最大限に残すことが可能です。
二次カリエス(再発)の徹底防止
被せ物の縁(マージン)が歯肉とぴったり一致しているか、ミクロン単位で確認します。
隙間がないことで細菌の侵入を防ぎ、被せ物をした後の「やり直し」のリスクを低減します。
歯肉の美しさを守る
精密な適合は、被せ物周囲の歯肉の炎症を防ぎます。
時間が経っても「歯茎が腫れる」「黒ずむ(ブラックマージン)」といったトラブルが起きにくい、健康的な美しさを目指します。
口腔内スキャナー:不快感の軽減と「精密なデジタル連携」
「歯医者の型取り(粘土のような材料)が苦手」という方は少なくありません。
当院では、光学スキャンによるデジタル印象採得を行っています。
型取りのストレスを解消
小型カメラでお口の中を数分間スキャンするだけで完了します。
嘔吐反射(オエっとなる感覚)がある方でも、リラックスして受けていただけます。
変形のない、正確なデータ
従来の型取りは、材料の収縮や石膏の変形など、物理的な誤差が生じる可能性がありました。
デジタルスキャンはデータをそのままコンピュータ上で処理するため、極めて精度の高い被せ物の作製が可能です。
熟練の技工士との「ビジュアル共有」
スキャンした3Dデータは即座に提携技工所へ送信されます。
歯科医師と歯科技工士が同じ3D画像をモニターで確認しながら、歯の形態や噛み合わせのシミュレーションを行うことで、患者さまの理想に近い仕上がりを実現します。
各学会の認定資格を持つ歯科医師による総合的アプローチ
審美歯科は単に「白い材料を入れる」ことではありません。
当院では以下の専門的視点を組み合わせて治療を行います。
歯周組織との調和(歯周病学会認定医の視点)
美しい口元には、健康な歯肉(しにく)のラインが欠かせません。
噛み合わせの安定(顎咬合学会認定医の視点)
美しく整えても、噛み合わせのバランスが悪いと被せ物の破損や天然歯への負担に繋がります。
機能的裏付けのある形態を追求します。
欠損補綴の専門知識(インプラント学会専門医の視点)
歯がない部分に対しても、ブリッジやインプラント、入れ歯を組み合わせ、お口全体の審美回復をトータルにマネジメントします。
当院で対応している審美歯科メニューと材料
患者さまの状態やご要望、噛み合わせの強さに応じて最適な材料を提案いたします。
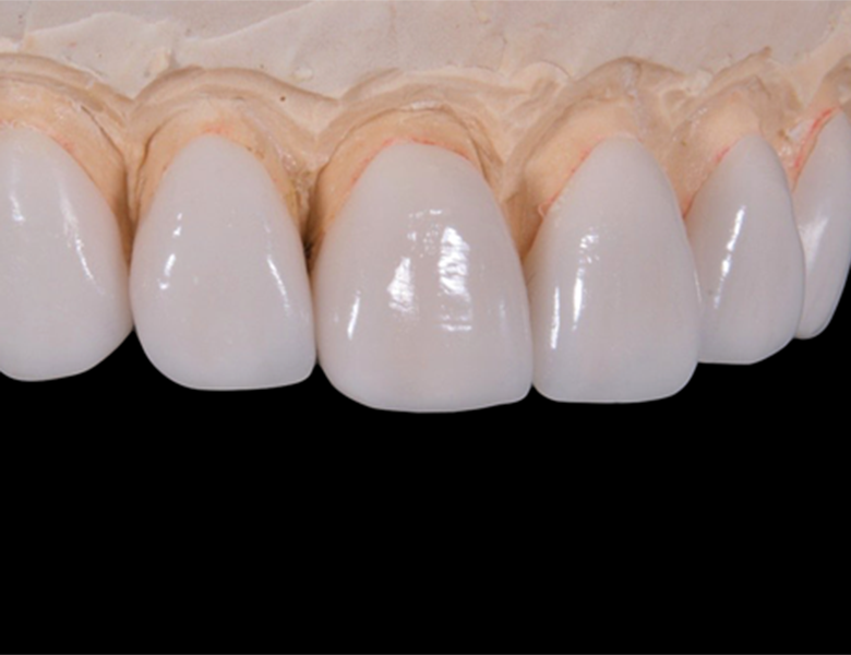
オールセラミック(ジルコニア、e-max等)
金属を一切使用しない補綴物です。
天然歯に近い光透過性があり、変色の心配がほとんどありません。
金属アレルギーのリスクも避けられます。
ただし、非常に強い力がかかった場合、稀に割れたり欠けたりすることがあります。
ラミネートベニア
歯の表面を最小限に削り、薄いセラミックを接着させる方法です。
歯の色やわずかな歯並びの乱れを短期間で改善したい場合に適しています。
歯ぎしりや食いしばりが強い方は、脱離や破損のリスクが高まります。
ダイレクトボンディング
多階層にわたる色調のレジン(複合樹脂)を直接歯に盛り付けて形を整えます。
型取りが不要で、治療回数を抑えられる傾向にあります。
経年的にわずかな変色や摩耗が生じることがあります。
メタルボンド
金属のフレームの表面にセラミックを焼き付けたものです。
強度が高く、幅広い症例に適応できます。
内側に金属を使用するため、オールセラミックに比べると透明感がやや劣り、将来的に歯肉との境目が黒ずんで見える可能性があります。
審美歯科治療:よくあるご質問(FAQ)

